Η χαλάρωση της ολικής αρθροπλαστικής οφείλεται είτε σε μηχανικά αίτια, είτε είναι αποτέλεσμα μικροβιακής λοίμωξης. Αίτια χαλάρωσης ολικής αρθροπλαστικής στο γόνατο είναι η άσηπτη χαλάρωση, η μικροβιακή λοίμωξη, η οξεία ή χρόνια φθορά του πολυαιθυλενίου, προβλήματα από την επιγονατίδα, αστάθεια του γονάτος και περιπροθετικά κατάγματα.
Οι αρχές της αναθεώρησης είναι παρόμοιες με αυτές που ισχύουν και για την πρωτογενή αρθροπλαστική. Κατά την αναθεώρηση ωστόσο ο χειρουργός αντιμετωπίζει επιπλέον προβλήματα όπως είναι η οστική απώλεια, η συνδεσμική αστάθεια και η διαταραχή του επιπέδου της άρθρωσης.
Προεγχειρητικός έλεγχος: ιστορικό, πληροφορίες σχετικά με το είδος του πόνου πριν και μετά από την αρχική επέμβαση μπορεί να αποδειχθούν χρήσιμες για τη διάγνωση.
Κλινική εκτίμηση: αρχικά, πρέπει να αποκλειστούν άλλα πιθανά αίτια, ενώ πρέπει και να γίνει έλεγχος του ισχίου και να αποκλειστούν αγγειακής φύσεως προβλήματα. Ομοίως, πρέπει να αποκλειστούν ριζιτικού τύπου ενοχλήματα, από την σπονδυλική στήλη πρέπει να αντανακλούν στην περιοχή του γόνατος, ενώ επίσης μπορεί να υπάρχει διαβητική νευροπάθεια.
Το γόνατο πρέπει να ελέγχεται για ένδοαρθρική συλλογή, αυξημένη θερμοκρασία και μειωμένο εύρος κίνησης.
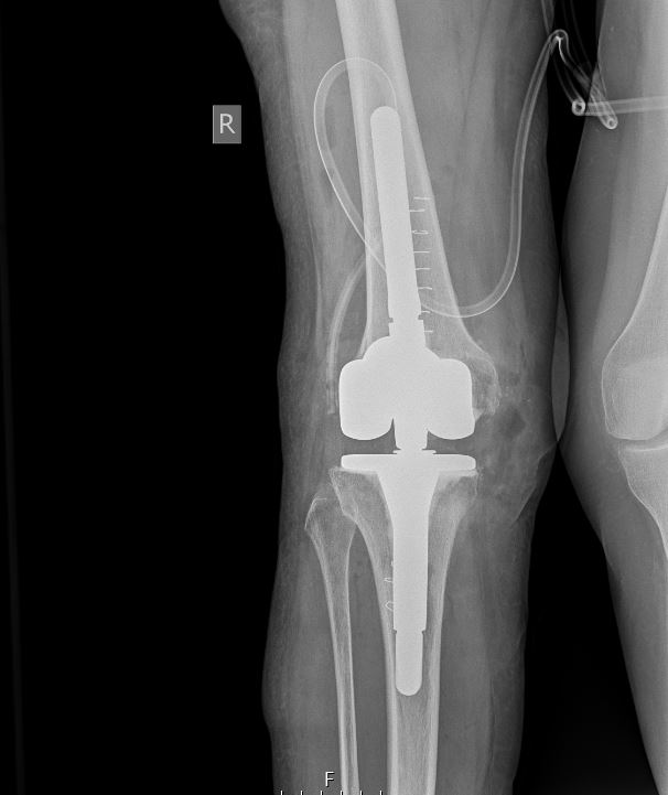
Ακτινολογικός έλεγχος: σε κάθε αναθεώρηση πρόθεσης οι απλές ακτινογραφίες είναι απαραίτητες καθώς μπορεί να απεικονίζονται ακτινοδιαυγαστικές γραμμές και περιοχές με απώλεια οστού.
Σπινθηρογραφικός έλεγχος: σε ορισμένες περιπτώσεις είναι δύσκολο να τεθεί η ένδειξη για αναθεώρηση της πρόθεσης από απλές ακτινογραφίες. Στις περιπτώσεις αυτές, το απλό σπινθηρογράφημα μπορεί να παρουσιάζει αυξημένη καθήλωση, υποδηλώνοντας έτσι χαλάρωση.

Εργαστηριακός έλεγχος: εκτός από τον συνηθισμένο αιματολογικό έλεγχο πριν από την αναθεώρηση, απαραίτητη προϋπόθεση είναι να ελεγχθούν η ταχύτητα καθίζησης και η c αντιδρώσα πρωτεΐνη, καθώς αποτελούν δείκτες μικροβιακής φλεγμονής.

Σταμάτα να ζεις με πόνο, βελτίωσε την ποιότητα της ζωής σου!
Τα μεγαλύτερα προβλήματα που αντιμετωπίζει ο χειρουργός κατά την αναθεώρηση μιας χαλαρωμένης πρόθεσης του γόνατος είναι ο ουλώδης ιστός από την προηγούμενη επέμβαση και η οστική απώλεια. Με την ανάπτυξη προθέσεων διαφόρων σχεδιασμών ανάλογα με το είδος του αστικού ελλείμματος και με την βελτίωση της χειρουργικής τεχνικής, τα καλά αποτελέσματα υπερβαίνουν το 80 τοις 100 στη δεκαετή επιβίωση των ολικών αρθροπλαστικών.
Επιγονατίδα: τα τελευταία χρόνια η αντικατάσταση της επιγονατίδας στην πλειοψηφία των περιπτώσεων δεν κρίνεται απαραίτητη σε πρώτο χρόνο. Συνήθως, τα προβλήματα είναι περισσότερα όταν αντικαθίσταται, η κακή διαδρομή της επιγονατίδας στη τροχιλία της μηριαίας πρόθεσης όπου αποτελεί αίτιο αναθεώρησης και αντιμετωπίζεται συνήθως με επέμβαση στους καθεκτικούς συνδέσμους.
Περί προσθετικό κάταγμα: παρατηρείται σε αυξημένη συχνότητα όταν κατά την τοποθέτηση της μηριαίας πρόθεσης δημιουργείται μικρή εγκοπή στον πρόσθιο φλοιό του μηριαίου (Notching). Αποτελεί δύσκολο πρόβλημα επειδή η ποιότητα του οστού δεν είναι συνήθως άριστη και η παρουσία της πρόθεσης δημιουργεί διεγχειρητικές δυσκολίες. Αν η πρόθεση είναι σταθερή, πολύ καλή λύση αποτελεί ο ανάστροφος ενδομυελικός ήλος, ενώ αν υπάρχει και χαλάρωση της πρόθεσης τότε ενδείκνυται η αναθεώρηση με νέα πρόθεση.
Αποτελεί δύσκολο πρόβλημα εξαιτίας του μικρού πάχους του μανδύα των μαλακών μορίων και της περιορισμένης επομένως δυνατότητας για εκτεταμένο χειρουργικό καθαρισμό. Στις περιπτώσεις αυτές, η αναθεώρηση πραγματοποιείται σε δύο στάδια: αρχικά αφαιρούνται όλα τα υλικά και πραγματοποιείται εκτεταμένος χειρουργικός καθαρισμός, ενώ ταυτόχρονα τοποθετείται και τσιμέντο με αντιβιοτικό ούτως ώστε να καλύψει το κενό (spacer).
Η επανεμφύτευση της νέας πρόθεσης πραγματοποιείται συνήθως σε έξι με οκτώ εβδομάδες. Από ορισμένους επιστήμονες προτείνεται και η άμεση επανεμφύτευση της νέας πρόθεσης όταν η λοιμογόνος αιτία είναι Γκραμ θετικός κόκκος, η οποία όμως γενικά θεωρείται αρκετά επιθετική αντιμετώπιση.
να σε καθοδηγήσει σχετικά με τη πάθηση σου, για να επιλέξεις την καλύτερη δυνατή αντιμετώπισή της.
We use cookies to improve your experience on our site. By using our site, you consent to cookies.
Manage your cookie preferences below:
Essential cookies enable basic functions and are necessary for the proper function of the website.
These cookies are needed for adding comments on this website.
Google reCAPTCHA helps protect websites from spam and abuse by verifying user interactions through challenges.
Google Tag Manager simplifies the management of marketing tags on your website without code changes.
Marketing cookies are used to follow visitors to websites. The intention is to show ads that are relevant and engaging to the individual user.
Google Maps is a web mapping service providing satellite imagery, real-time navigation, and location-based information.
Service URL: policies.google.com (ανοίγει σε νέο παράθυρο)