
Η Οστεοαρθριτιδα είναι μια χρονια πάθηση της άρθρωσης του γόνατος, στην οποια παρατηρείται προοδευτική μαλάκυνση του αρθρικού χόνδρου, απώλεια δηλαδή της φυσιολογικής του σκληρότητας, η οποία συνοδεύεται από ανάπτυξη νέου οστού και χόνδρου στις παρυφές του γόνατος (οστεόφυτα) καθώς και από ρίκνωση του αρθρικού θυλάκου.
Γενικά, είναι μια πάθηση της τρίτης ηλικίας αλλά οστεοαρθρίτιδα μπορούν να αναπτύξουν και νέοι ασθενείς εφόσον ο αρθρικός χόνδρος τραυματιστεί ή δεχτεί ανώμαλες φορτίσεις επί μακρόν. Είναι συχνότερη στις γυναίκες μετά την εμμηνόπαυση και στους υπέρβαρους ασθενείς.
Ο πόνος είναι το κύριο σύμπτωμα και στα πρώτα στάδια υποχωρεί με την ανάπαυση. Σταδικά όμως η υφεση δεν είναι πλήρης. Με την πάροδο του χρόνου εμφανίζεται και νυχτερινός πόνος, οπότε και ο ασθενής αδυνατεί να βρει θέση που να τον ανακουφιζει.
Η δυσκαμψία είναι ένα σύνηθες κλινικό σημείο που με την πάροδο του χρόνου επιδεινώνεται.
Η διόγκωση της άρθρωσης (υδραρθρο- υμενίτιδα) είναι συχνή.
Η παραμόρφωση και η διαταραχή του άξονα της άρθρωσης είναι επίσης πολύ συχνή και συνοδεύεται από αστάθεια του γόνατος και ατροφία του τετρακεφάλου. Προκαλείται λοιπόν διαταραχή της λειτουργικότητας του γόνατος (χωλότητα , δυσκολία με τις σκάλες , περιορισμός της απόστασης βάδισης , προοδευτική ανικανότητα να εκπληρώνει τις καθημερινές δραστηριότητες).


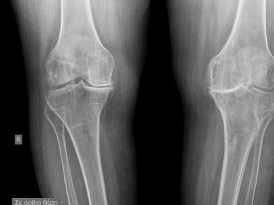
Οι απλές ακτινογραφίες του γόνατος, ιδίως με φόρτιση της άρθρωσης, είναι τόσο χαρακτηριστικες ώστε να καθιστούν άχρηστες πιο ειδικές εξετάσεις. Η ασσύμετρη στένωση του μεσαρθρίου διαστήματος, η σκλήρυνση του υποχόνδριου οστού, τα οστεόφυτα στα όρια της άρθρωσης καθώς και ευρήματα προηγουμένων παθήσεων (κατάγματα , χονδρασβεστώσεις κλπ) είναι ευρήματα οστεοαρθρίτιδας του γόνατος.
Η αξονική και η μαγνητική τομογραφία είναι κι αυτές πιο ειδικές εξετάσεις ύπαρξης οστεοαρθίτιδας του γόνατος

Σταμάτα να ζεις με πόνο, βελτίωσε την ποιότητα της ζωής σου!
Στο πρώιμο στάδιο τρεις ενέργειες αφορούν τη θεραπεία της αρχόμενης οστεοαρθρίτιδας.
1) Αναλγησία (αναλγητικά – μη στεροειδή αντιφλεγμονώδη).
2) Κινητοποίηση (φυσιοθεραπεία – κινησιοθεραπεία).
3) Ελάττωση φορτίου (απώλεια σωματικού βάρους, χρήση βακτηρίας, αποφυγή μη απαραίτητων καταπονήσεων, διαστήματα πλήρους ανάπαυσης).
Στο ενδιάμεσο στάδιο και εάν τα συμπτώματα επιδεινωθούν, τότε μπορεί να γίνουν τοπικές εγχύσεις στην άρθρωση με βιολογικούς παράγοντες (prp – βλαστοκύτταρα), υαλουρονικό, καθώς και οστεοτομίες διόρθωσης του άξονα φόρτισης του γόνατος (αλλά με σταθερή άρθρωση και καλή κινητικότητα αυτής).
Στο τελικό στάδιο η προχωρημένη οστική καταστροφή με αυξημένο πόνο, αστάθεια και παραμόρφωση απαιτεί επανορθωτική χειρουργική επέμβαση, δηλαδή ολική αρθροπλαστική του γόνατος με εξαιρετικά αποτελέσματα.
Από τα προηγούμενα γίνεται φανερό ότι στην παθογένεση της οστεοαρθρίτιδας του γόνατος συμμετέχουν πολλοί παράγοντες: γενετικη προδιάθεση, μεταβολικές και ορμονικές επιδράσεις στο χόνδρο, βαθμός καταπόνησης γόνατος, τοπικές μηχανικές φορτίσεις, προϋπάρχουσα αρθρίτιδα, τραυματικές κακώσεις του χόνδρου που έχουν σαν αποτέλεσμα την απώλεια της ελαστικότητας του χόνδρου με μια συνακόλουθη ελάττωση στην ικανότητα αντοχής στα φορτία που δέχεται το γόνατο.
Η οστεοαρθρίτιδα μπορεί να προληφθεί ως ένα βαθμό, τροποποιώντας κάποιους από τους αιτιολογικούς αυτούς παράγοντες (μείωση σωματικού βάρους, φυσιοθεραπεία, ήπια άσκηση, κολύμβηση, μυική ενδυνάμωση).
να σε καθοδηγήσει σχετικά με τη πάθηση σου, για να επιλέξεις την καλύτερη δυνατή αντιμετώπισή της.
We use cookies to improve your experience on our site. By using our site, you consent to cookies.
Manage your cookie preferences below:
Essential cookies enable basic functions and are necessary for the proper function of the website.
These cookies are needed for adding comments on this website.
Google reCAPTCHA helps protect websites from spam and abuse by verifying user interactions through challenges.
Google Tag Manager simplifies the management of marketing tags on your website without code changes.
Marketing cookies are used to follow visitors to websites. The intention is to show ads that are relevant and engaging to the individual user.
Google Maps is a web mapping service providing satellite imagery, real-time navigation, and location-based information.
Service URL: policies.google.com (ανοίγει σε νέο παράθυρο)